📑 목차
난치병 고셔병은 체내에서 특정 효소의 결핍으로 인해 대사 기능이 비정상적으로 작동하는 희귀 유전질환이다.
이 질환은 주로 글루코세레브로시다제(glucocerebrosidase)라는 효소의 부족으로 인해 세포 내 대사물질이 축적되어 여러 장기에 손상을 일으킨다. 고셔병은 1882년 프랑스 의사 필리프 고셔(Philippe Gaucher)가 처음 보고하면서 이름이 붙었다. 그는 비정상적으로 비대해진 비장과 간을 가진 환자에서 특정 세포가 축적된 현상을 관찰했다. 이후 현대 분자생물학의 발전으로 원인 효소의 유전자 변이가 확인되었고, 오늘날 이 질환은 대표적인 리소좀 축적질환(lysosomal storage disorder)으로 분류된다.
고셔병은 전 세계적으로 약 10만 명 중 1명꼴로 나타나지만, 아슈케나지 유대인 집단에서는 유전자 변이 빈도가 높아 발병률이 상대적으로 높다. 난치병으로 분류되는 이유는 치료제의 접근성이 낮고, 근본적인 완치 방법이 아직 없기 때문이다. 대부분의 환자가 평생 치료를 받아야 하며, 질병의 형태에 따라 임상 양상도 크게 다르다.

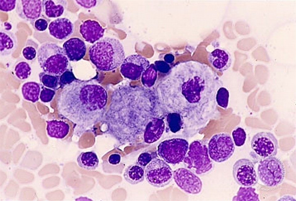
난치병 고셔병의 핵심 원인은 GBA 유전자의 돌연변이다. 이 유전자는 1번 염색체의 장완(q arm)에 위치하며, 글루코세레브로시다제 효소의 생성을 담당한다. 정상적인 경우 이 효소는 리소좀 내에서 글루코세레브로사이드(glucocerebroside)를 분해해 세포의 대사 균형을 유지한다. 그러나 GBA 유전자가 변이되면 효소의 활성이 현저히 떨어지거나 완전히 결여되어, 이 물질이 대식세포(macrophage) 내부에 축적된다. 이러한 비정상 세포를 고셔 세포(Gaucher cell)라고 하며, 주로 간, 비장, 골수, 폐 등에 쌓여 조직 비대를 유발한다.
유전 양식은 상염색체 열성 유전(autosomal recessive inheritance)이다. 즉, 부모 모두가 변이 유전자의 보인자(carrier)일 때 자녀에게 25% 확률로 발병한다. 이러한 유전적 특성 때문에 가족력 추적과 유전자 검사가 진단 과정에서 매우 중요하다. 최근에는 차세대 염기서열 분석(NGS, next-generation sequencing) 기술이 발전하면서 GBA 유전자 내 300여 가지 이상의 변이가 보고되고 있다. 변이의 종류에 따라 효소 활성 저하 정도가 다르며, 이는 질환의 임상형을 결정하는 주요 요인으로 작용한다.
또한, 난치병 고셔병은 파킨슨병과의 연관성이 연구를 통해 밝혀지고 있다. GBA 유전자 변이가 파킨슨병의 위험을 높이는 것으로 확인되었는데, 이는 리소좀 기능 저하가 신경세포 내 단백질 분해 시스템에 영향을 주기 때문이다. 따라서 고셔병은 단순한 희귀질환을 넘어 신경퇴행성 질환 연구의 핵심 단서로도 주목받고 있다.
난치병 고셔병은 효소 활성 정도와 신경계 침범 여부에 따라 크게 3가지 유형으로 구분된다.
1형 고셔병(비신경형, Non-neuronopathic type)
가장 흔한 형태로 전체 환자의 약 90%를 차지한다. 신경계 침범이 없으며, 주로 비장비대, 간비대, 골병변, 빈혈, 혈소판 감소증 등이 나타난다. 비장의 비대는 때로 복부 팽만감을 일으키고, 골수 침범으로 인해 뼈 통증이나 골절이 자주 발생한다. 치료를 받지 않으면 만성 빈혈과 출혈 경향으로 삶의 질이 현저히 떨어진다.
2형 고셔병(급성 신경형, Acute neuronopathic type)
출생 후 수개월 내 발병하며 진행 속도가 매우 빠르다. 중추신경계 손상, 근긴장 이상, 연하곤란, 간질 발작 등이 동반되어 대부분 영아기에 사망한다. 효소 결핍 정도가 극심해 치료가 사실상 어렵다.
3형 고셔병(만성 신경형, Chronic neuronopathic type)
소아기 이후 서서히 신경 증상이 나타나는 형태로, 운동장애나 안구운동 장애, 경련 등이 동반된다. 질병 진행은 완만하지만 완치가 어렵고, 장기 손상과 신경학적 합병증이 병행된다.
이외에도 비전형적 형태로 심장이나 폐에 침범하는 사례가 보고되고 있으며, 특정 유전자 변이(N370S, L444P 등)에 따라 발현 양상이 달라진다. 이러한 세부적 구분은 개인 맞춤형 치료 전략 수립에 중요하다.
난치병 고셔병의 진단은 임상 증상, 효소 활성 측정, 유전자 분석을 통해 확정된다. 우선 환자의 말초혈액 또는 백혈구에서 글루코세레브로시다제 효소 활성 검사를 시행하여 정상 대비 10~15% 이하로 떨어져 있으면 고셔병이 의심된다. 이후 GBA 유전자 염기서열 분석으로 변이를 확인한다. 혈액학적 검사에서 빈혈, 혈소판 감소, 간비대 소견이 나타나는 것도 중요한 단서다.
영상의학적으로는 MRI를 통해 골수 침범 정도를 평가하며, 간·비장의 크기 변화를 정량적으로 분석한다. 일부 병원에서는 비침습적 생화학 지표인 치토트리오시다제(chitotriosidase)나 글루코실스핑고신(glucosylsphingosine, Lyso-Gb1) 수치를 활용해 질병 활성도를 모니터링한다.
효소대체요법(ERT, Enzyme Replacement Therapy)
가장 널리 사용되는 치료법으로, 정맥 주사를 통해 결핍된 효소를 보충한다. 대표적 약제로는 이미글루세라제(imiglucerase), 벨라글루세라제(alglucerase), 탈리글루세라제(taliglucerase) 등이 있다. 치료를 통해 비장비대가 개선되고, 혈액 수치가 안정화되며, 뼈 통증이 완화된다. 다만 신경계는 혈뇌장벽(BBB)으로 인해 효소 전달이 어렵기 때문에 2형, 3형에는 효과가 제한적이다.
기질감소요법(SRT, Substrate Reduction Therapy)
이 방법은 글루코세레브로사이드의 생합성을 억제해 리소좀 축적을 줄이는 원리이다. 미글루스타트(miglustat), 엘리글루스타트(eliglustat) 등이 경구제로 사용된다. 경증~중등도 1형 환자에서 사용되며, 효소대체요법과 병용하기도 한다.
유전자치료 연구
최근 주목받는 분야는 AAV(아데노연관바이러스) 기반 유전자치료다. 손상된 GBA 유전자를 대체하여 효소를 지속적으로 생산하게 하는 방식으로, 실험동물 모델에서 고무적인 결과가 보고되고 있다. 또한 mRNA 치료제 플랫폼을 이용해 일시적으로 효소를 합성시키는 접근도 연구 중이다. 이 방식은 기존의 정맥주사 치료보다 간편하며, 면역반응을 최소화할 수 있다는 장점이 있다.
신경계 치료 접근
혈뇌장벽을 통과하는 효소 전달 시스템(Brain-targeted ERT) 연구도 활발하다. 특정 펩타이드 리간드를 결합시켜 효소가 뇌로 운반되도록 설계하는 방식이다. 일부 전임상 연구에서는 뇌 내 효소활성이 유의미하게 회복된 사례가 보고되었다.
이와 함께, 환자의 삶의 질 관리(QoL management)도 치료의 중요한 축으로 인식되고 있다. 골절 예방을 위한 물리치료, 철분 보충, 출혈 관리, 심리적 지원 등이 병행되어야 한다.
난치병 고셔병은 효소 결핍으로 인한 대사장애가 근본 원인인 희귀 유전질환이다. 진단 기술의 발전으로 조기 발견률은 향상되고 있지만, 치료 접근성과 비용 부담은 여전히 큰 과제다. 효소대체요법과 기질감소요법은 증상 완화에 기여하고 있으나, 근본적인 유전자 교정 기술은 아직 임상 단계에 머물러 있다.
앞으로의 방향은 정확한 유전자 변이 분석을 통한 맞춤형 치료, 혈뇌장벽을 극복하는 신경계 표적치료, 장기적 환자 모니터링 시스템 구축으로 나아가야 한다. 또한 환자 수가 적은 희귀질환 특성상, 국가 단위의 지원 프로그램과 약가 보조 정책이 필수적이다.
고셔병에 대한 사회적 인식 제고는 조기 진단의 기회를 확대하고 연구 자금 확보에도 도움이 된다. 난치병은 더 이상 ‘치료 불가능한 질환’이 아니라, 꾸준한 연구와 기술 발전을 통해 극복 가능한 영역으로 이동하고 있다. 고셔병의 사례는 이러한 의료 혁신의 방향성을 가장 잘 보여주는 대표적 예다.
'난치병' 카테고리의 다른 글
| 난치병 니만-픽병 완벽 정리: 원인, 증상, 치료, 최신 연구까지 한눈에 보는 희귀질환 정보 (0) | 2025.11.04 |
|---|---|
| 난치병 파브리병 완벽정리: 원인, 증상, 치료, 최신 연구와 관리까지 (0) | 2025.11.03 |
| 난치병 크라베병 완벽 정리: 증상, 원인, 진단, 치료방법 총정리 (0) | 2025.11.03 |
| 난치병 테이삭스병 완전정리: 원인, 증상, 진단부터 유전자 치료와 예방까지 (0) | 2025.11.03 |
| 난치병 헌팅턴병의 모든 것: 원인부터 증상, 치료와 최신 연구까지 완벽 정리 (0) | 2025.11.03 |